

巨大“西瓜”藏于腹中 高危解剖区上演“生死止血战”
文章字数:472
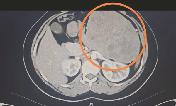
术前检查影像
(滨州市中心医院) 近日,滨州市中心医院肝胆外科团队成功为一名胰腺体尾部巨大肿瘤伴广泛坏死、出血及囊变的患者实施高难度“胰体尾切除+脾脏切除术”。
该肿瘤体积巨大且侵袭性强,内部坏死液化、出血风险极高,手术需在保护周围重要血管及脏器的同时,彻底清除病灶,堪称“在血管地雷区行走”。
患者为23岁青年女性,因“发现腹部肿物1月”入院,既往身体状况良好。患者术前CT考虑左上腹巨大占位,考虑胰腺肿瘤。MR检查提示胰腺体尾部占位,考虑胰腺实性假乳头状瘤伴出血,肿瘤体积巨大,如“西瓜”大小,直径约16cm。
经术前多学科会诊、精准的术前规划、精细解剖及止血,术中探查见腹腔肿瘤体积巨大,侵犯脾门、脾血管,伴广泛出血坏死及囊变,病理确诊为胰腺实性假乳头状肿瘤(低度恶性)。成功为患者实施胰体尾肿瘤+脾脏切除术,完整切除肿瘤并避免并发症,术后康复出院。
术后病理提示,(胰体尾肿物+脾脏)胰腺实性假乳头状肿瘤伴出血坏死及囊变,肿瘤体积16cm×15cm×9cm,胰腺断端未见肿瘤累及,检出胰腺周围淋巴结1枚呈反应性增生,未见肿瘤转移。术后病理提示肿瘤清除彻底、断面及周围淋巴结无肿瘤累及。